
精美Al-Si合金金相圖片



99.999%Al, 已變形的晶粒結構


Al-1%Si 鑄造合金樣品,在初生α鋁基體中可見硅粒子。


Al-7%Si, 鑄態組織,初生α枝晶和α-Al/Si共晶


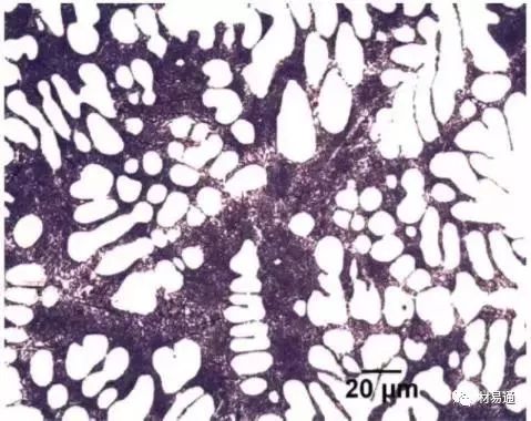
Al-11%Si, 鑄態組織,初生α枝晶和α-Al/Si共晶


Al-12%Si, 鑄態組織,近共晶


Al-12%Si, 鑄態組織,近共晶


Na改性Al-12%Si, 鑄態組織,近共晶


Na改性Al-12%Si, 鑄態組織,近共晶


Al-12.9%Si, 重力鑄造


Al-12%Si-0.04%Sr, 重力鑄造


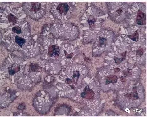
Al-19.85%Si,鑄造,過共晶,初生Si加共晶


Al-25%Si,鑄造,過共晶,初生Si加α-Al/Si共晶


Al-50%Si,鑄造,過共晶,初生Si開裂加共晶


99.9999%Si,鑄造,75%NaOH溶液

Al-Si相圖


來源:金屬材料科學與技術


