Ti-6Al-4V鈦合金是一種中等強度的α+β型兩相鈦合金,與國內TC4材料相近,含有6%的α穩定元素Al和4%的β穩定元素V。該合金具有優異的綜合性能,在航空和航天領域獲得了廣泛應用,長時間工作溫度可達400℃,在航空工業中主要用于制造發動機的風扇、壓力機盤與葉片,以及飛機結構中的梁、接頭和隔框、緊固件等重要的承力構件。
為了保證緊固件良好的疲勞、持久等力學性能,頭部常采用鐓制成型。而Ti-6Al-4V在室溫下的退火態組織為大量的α(hcp)相+少量的β(bcc)相,由于α相(hcp)的冷變形能力要比β相(bcc)差與鈦合金導熱性差,如果采取冷鐓成型,易產生折疊、裂紋,內部空洞及絕熱剪切帶等缺陷;所以Ti-6Al-4V往往采取頭部熱鐓成型。在實際生產過程中,為了保證產品進度,常采用加熱效率高、生產速度快的高頻加熱方式進行升溫。在應變速率不變的情況下,提高成型溫度,有利于材料的塑性變形。但高頻加熱速度快,溫度難以控制,易造成產品過熱。
1.原材料驗證
為了保證Ti-6Al-4V鈦合金緊固件熱成型質量,有效地控制其加熱溫度及保溫時間,現選取了不同加熱參數,通過對顯微組織觀察,判斷熱加工參數設置的合理性。
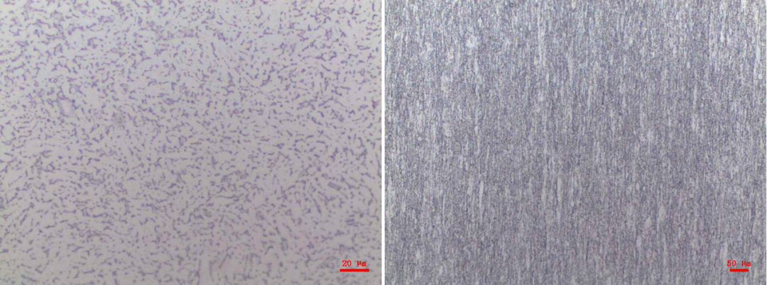
為了保證試驗結果的準確性,選取了進口的Ti-6Al-4V鈦合金材料,其顯微組織如圖1所示。

(a)橫向組織(200×) (b)縱向組織(200×)
圖1 Ti-6Al-4V原材料顯微組織
圖1顯示了Ti-6Al-4V原材料顯微組織形貌。圖1a為橫向顯微組織形貌,圖1b為縱向顯微組織形貌特征。從圖中可以看出:其顯微組織形態為等軸組織,在等軸的α相基體上,分布著細小的β相。該材料組織均勻,未見明顯冶金缺陷,為典型的α+β雙相鈦合金。
為驗證加熱參數對原材料顯微組織的影響,將該Ti-6Al-4V原材料用高頻加熱,加熱至1000℃高于其相變點以上,保溫15s。觀察顯微組織如圖2所示。

(a)橫向組織(100×) (b)縱向組織(200×)
圖2 原材料過熱組織
圖2顯示了1000℃,保溫15s的原材料顯微組織特征。從圖2a可以看出:在200×下,組織粗大,晶粒明顯,晶粒內部有網狀組織,未發現細小的β相存在;圖2b與圖2a具有類似的組織結構,晶粒基本上成等軸狀,魏氏組織形貌。
由于Ti-6Al-4V中鋁含量相對較低,所以其增加點陣的扭曲程度,阻止原子再結晶過程中的定向移動并延遲晶粒長大的能力較弱。所以當加熱溫度高于相變溫度后,原細小的等軸雙相組織,晶粒逐漸長大,原晶界處存在的細小β相,也融入了α相基體當中,隨著溫度的降低,在晶粒內析出網狀的魏氏組織。
Ti-6Al-4V原材料為退火態,其組織為平衡態組織。在加熱及保溫過程中,沒有產生再結晶,隨著加熱溫度的升高,及保溫時間的延長,其原子達到了擴散激活能,晶粒長大的驅動力來源于晶界遷移后體系總的自由能的降低。溫度是影響晶粒長大的主要因素,而晶界的遷移與原子的擴散有關,擴散系數越大,晶界越容易遷移,即晶粒越容易長大。
通過對Ti-6Al-4V原材料高頻加熱至1000℃,保溫15s,晶粒明顯長大且成等軸狀,并產生了魏氏組織。
2.產品鐓制加熱參數驗證
為了驗證Ti-6Al-4V鈦合金緊固件在熱鐓時,是否出現過熱現象,又對原材料進行了頭部成型試驗,其加熱參數為溫度1000℃及940℃,保溫時間均為15s,其顯微組織如圖3所示。

(a)頭、桿結合處顯微組織(200×) (b)桿部顯微組織(100×)

(c)頭、桿結合處顯微組織(100×) (d)頭部非支撐面處顯微組織(100×)

(e)頭部非支撐面處顯微組織(100×) (f)頭部非支撐面處顯微組織(500×)
圖3 不同溫度處理的Ti-6Al-4V顯微組織
圖3顯示了不同加熱溫度下的Ti-6Al-4V鈦合金緊固件顯微組織特征,從圖中可以看出:圖3a原材料經1000℃,保溫15是之后,經沖床鐓制成型后,晶粒長大,成等軸的六邊形形狀,組織分布較為均勻;圖3b為桿部顯微組織,晶粒從表層到內部依次減小,由于高頻加熱為瞬時加熱,保溫時間較短,材料僅表層獲得了大量的能量,達到了原子的擴散激活能,使表層晶粒迅速長大,而材料內部仍保持原材料組織狀態。加熱鐓制時,產生了動態再結晶,由于動態再結晶的晶核形成及晶粒長大期間仍受變形作用,使之反復形核、有限生長的特點,動態再結晶得到等軸晶粒組織,晶粒較為細小,晶粒大小決定于應變速率和變形溫度。變形溫度越高,應變速率越低,越得到較大的晶粒。
圖3c為高頻加熱940℃,保溫15s的顯微組織,從圖中可以看出:晶粒較1000℃,明顯減小,晶粒破碎,剛形核的晶粒還沒有完全長大,就失去了長大的驅動力;圖3d為螺栓頭部上端面的顯微組織形貌特征,從圖中可以看到在裂紋兩邊,顯微組織完全不同,裂紋左邊為過熱組織,組織較為粗大,裂紋右邊,組織為細密、破碎的顯微組織。在塑性變形時,對于β相來說,屬于體心立方結構(bcc)有48個滑移系;而α相為密排六方結構(hcp),只有3個滑移系。在受力時,體心立方結構(bcc)的β相比密排六方結構(hcp)的α相變形要容易的多,在受力時,滑移面的夾角與外力軸線的夾角越來越接近45°,并且在粗晶粒和細晶粒之間形成的內應力共同作用,導致了沿45°角開裂現象。
圖3e為產品在成品檢測時,發現的過熱現象。從圖中可以看出:晶粒粗大,基體上無初生的α相,晶內出現明顯的魏氏組織,為典型的Ti-6Al-4V過熱組織;圖3f為圖3e的放大500×,從圖中可以看出:組織粗大,成網狀的魏氏組織;圖3e與圖3f為熱鐓過熱產品,又經940℃固溶與520℃時效處理之后的顯微組織。過熱組織在后續的熱處理過程中,是很難糾正的。產品一經交付將對產品的機械性能產生較大影響。
為找到合適的溫度和保溫時間,使Ti-6Al-4V原材料熱鐓成型時,不產生過熱現象,既節約資源,又保證生產效率。又進行了一系列的驗證,當加熱溫度降低至890℃時,產品經鐓制成型后其組織形貌如圖4所示。

(a)桿部顯微組織(200×) (b)頭、桿結合處顯微組織(200×)

(c)桿部顯微組織(200×) (d)頭、桿結合處顯微組織(200×)
圖4 不同加熱溫度下的顯微組織
圖4顯示了在固溶溫度940℃以下,加熱溫度為890℃和850℃的不同顯微組織。圖4a和圖4b為加熱溫度為890℃下的桿部與頭、桿結合處的組織特征,從圖中可以看出:其顯微組織組織與圖1所示的原材料相差不大;圖4c與圖4d為加熱溫度為850℃下桿部與頭、桿結合處的組織特征,其顯微組織與圖1中所示的原材料更為細小。在動態再結晶過程中,由于加熱溫度不高,新形核的晶粒還沒有來得及長大就失去了長大所需的驅動力,造成晶粒細小。細小的晶粒在后續的熱處理工程中,將逐步長大,由于加熱溫度的限制,其長大的程度受到很大的限制,形成更好力學性能的顯微組織。
3.結語
通過對Ti-6Al-4V緊固件熱鐓加工參數對顯微組織影響的研究,在1000℃及940℃下加熱與保持較長時間,易產生顯微組織過熱、晶粒長大及形成魏氏組織等缺陷;在890℃與850℃下鐓制,產品均未出現過熱現象,無折疊、裂紋等缺陷產生,850℃下鐓制更能提高生產效率及節約資源。后期熱處理及實驗證明,在該溫度下加工的產品,經固溶、時效處理后,產品的抗拉、抗剪、疲勞、金相等均符合相關產品標準要求,保證了產品質量的一致性。
來源:熱處理生態圈
作者:朱李云,空軍駐鄭州某軍代室
程全士、胡慶寬、許永春、馮德榮,河南航天精工制造有限公司
(本平臺"常州精密鋼管博客網"的部分圖文來自網絡轉載,轉載目的在于傳遞更多技術信息。我們尊重原創,版權歸原作者所有,若未能找到作者和出處望請諒解,敬請聯系主編微信號:steel_tube,進行刪除或付稿費,多謝!)

